Indication
Bilan d’extension d’un adénocarcinome pulmonaire lobaire inférieure gauche:
ADK peu différentié PDL1 en attente, Kras et TP53 muté (cT2aN1M1c).
Suspiscion d’encéphalite paranéoplasique et lésions suspectes hépatiques
Commentaires
Masse pulmonaire du lobe inférieur gauche, en rapport avec la lésion primitive connue, associée à une lymphangite carcinomateuse et un nodule satellite hypermétabolique.
Condensation pulmonaire hypermétabolique abcédée du lobe inférieur droit.
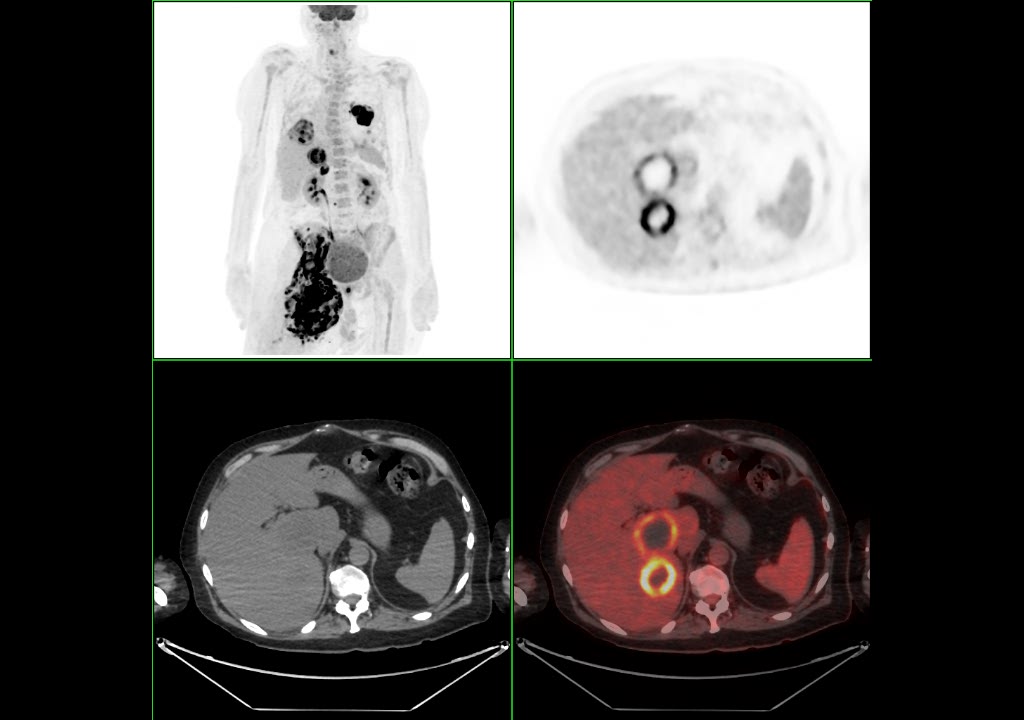
Masse collectée en fosse iliaque droite, développée en regard du muscle iliaque droit, s’étendant à la région des adducteurs et du triangle fémoral homolatéraux, lobulée, de métabolisme hétérogène.
Extension hypermétabolique secondaire hilaire gauche, hépatique, surrénalienne droite et ganglionnaire rétro-cave
Conclusion
Que vous évoque cette masse collectée ?
Mots Clés : Adénocarcinome Bronchique Quiz
Je suis bien intrigué par cette masse… Ça ne fait pas trop métastase tissulaire, trop gros, volumineux paquet à développement régional, densité homogène à prédominance hydrique, métabolisme périphérique… L’os n’a pas l’air envahi
Seconde maladie qui n’a rien à voir avec le néo pulmonaire?
Il s’agit effectivement d’une seconde tumeur… des idées ???
Maladie parasitaire ? Échinococcose ?
Sinon GIST
bonnes propositions Thomas mais il ne s’agit pas de cela … 🙂
un indice: c’est une tumeur rare
Chondrosarcome ?
ou SynovialoSarc.
Synovialosarcome ?
bon allez je dévoile la solution !
il s’agit d’une tumeur desmoblastique
j’ai fait une fiche dessus
Cette présentation était intéressante car l’extension hépatique et ganglionnaire rétro-cave peut également se voir dans les tumeurs desmoplastiques. Il était donc difficile de faire la part des choses entre une extension secondaire d’origine pulmonaire ou tumorale desmoplastique.
Tumeur desmoblastique et TEP
Epidémiologie :
La tumeur desmoplastique à petites cellules rondes est une tumeur maligne rare (environ 60 cas décrits dans la littérature) affectant habituellement l’enfant et l’adulte jeune de sexe masculin. Elle se présente fréquemment comme une masse abdominale associée à une atteinte péritonéale au moment du diagnostic.
Radiologiquement/ Bilan d’extension :
-Masse péritonéale, unique ou multiple, lobulée sans point de départ d’un organe
-Extension possible : ascite, métastases hépatiques, métastases osseuses sans anomalie TDM, adénopathies, calcification tumorale, épaississement nodulaire diffus du péritoine, hydronéphrose due à l’obstruction tumorale.
– Diagnostic différentiel : autres maladies néoplasiques avec atteinte péritonéale
Histologiquement
Nids tumoraux de petites cellules rondes atypiques et mitotiques au sein d’un stroma desmoplastique prédominant.
Diagnostic différentiel : autres tumeurs à cellules rondes : sarcome d’Ewing, neuroblastome, tumeur de Wilms, rhabdomysarcome et PNET.
Immunohistochimie/ cytogénétique :
-Différenciation épithéliale, musculaire, neuronale et conjonctive
-translocation spécifique t(11;22) (p13;q12), aboutissant à la fusion du gène du sarcome d’Ewing (EWS ) et celui de la tumeur de Wilms (WTS )
Pronostic/Traitement :
-Médiane de survie 17 mois
-Polychimiothérapie (exérèse radicale chirurgicale, radiothérapie et greffe de cellules souches périphériques ne semblent pas améliorer significativement le pronostic)