Ostéome du coude

Indication

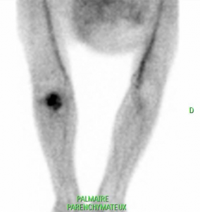
Rupture du tendon bicipital gauche chez un patient sportif. Réinsertion chirurgicale. Apparition dans les suites opératoires d’une tuméfaction du coude.

Commentaires

Parenchymateux: Foyer hyperhémique du coude gauche.
Clichés tardif: hyperfixation intense en regard d’un tissu partiellement calcifié de la réinsertion du tendon bicipital qui témoigne du caractère évolutif de l’ostéome. Contre indication chirurgicale.

Conclusion

Ostéome évolutif du coude gauche.
Tissu osseux fibreux constitué d’une trame de collagène peu ordonnée et de nombreux ostéocytes volumineux.

Mots Clés : Scintigraphie osseuse Ostéome ostéoïde

 

N'hésitez pas à partager !