Fluorocholine et Carcinose péritonéale dans le cadre d’une néoplasie prostatique

Indication

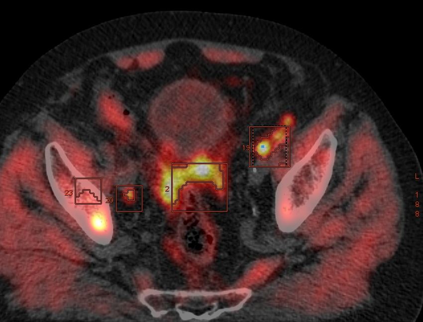
Patient de 83 ans suivi pour une lésion prostatique depuis 3 ans. PSA à 28 au diagnostic mais Gleason 9.
Traitement par hormonothérapie. Elévation du PSA (10 actuellement) malgré une 3eme ligne de traitement.
Recherche d’une lésion cible pour un traitement ciblé.
Acquisition réalisée 69 min après injection de 262,5 MBq de FLUOROCHOLINE et de 20 mg de LASILIX
Absorption de 1,5l d’eau (DLP = 377 mGy.cm CTDI = 4,25 mGy)

L’examen permet de trouver une atteinte de la prostate dans sa globalité avec une extension aux vésicules séminales, à la paroi vésicale, une atteinte osseuse et ganglionnaire lombo-aortique très importante.
Au niveau thoracique, on note une fixation au niveau de nombreux ganglions ne prenant pas toutefois une forme bilatérale et symétrique, ce qui est donc suspect: il ne semble pas y avoir d’atteinte du parenchyme
On visualise aussi une extension pelvienne vers le rectum avec de nombreux ganglions périrectaux.
On notera la présence très inhabituelle de nombreux nodules hyperfixants de carcinose pelvienne et abdominale. L’analyse de la littérature montre que cela reste très peu fréquent.

Commentaires

La dissémination se fait de façon régionale en touchant notamment la vessie, les vésicules séminales et plus rarement le rectum.

On retrouve ensuite une dissémination lymphatique avec une atteinte ganglionnaire et hématologique avec une atteinte de l’os et parfois du poumon.

Des atteintes peu fréquentes ont été répertoriées

  1. tête et cou: SNC, ORL, œil, thyroïde, ganglions cervicaux et sus-claviculaires
  2. thorax: plèvre, ganglions médiastinaux et endobronchiques
  3. appareil digestif et urinaire
  4. peau avec notamment le Nodule de Sœur Mary Joseph (très cher au Dr Comte)
  5. périnée: testicules, verge, ganglions inguinaux
  6. dissémination: incision, trocart, cathéter

 

Conclusion

L’apparition d’une carcinose péritonéale dans le cadre d’un EOA prostatique est peu fréquente mais il faut savoir y penser .
Celle-ci apparait en général à un stade avancé de la maladie dans le cadre d’une lésion peu différenciée habituellement en cas de contingent neuro-endocrine.

Mots Clés : Fluorocholine TEP Prostate carcinose péritonéale

 

N'hésitez pas à partager !

Commentaires