TEP FDG et EMBOLIE PULMONAIRE

Indication

Patiente de 34 ans adressée pour suspicion de récidive de liposarcome.

Commentaires

Découverte de plusieurs lésions musculaires hypermétaboliques en faveur de lésions liposarcomateuses.

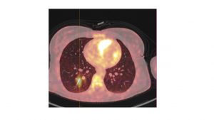
Patiente transférée aux urgences pour:

  • une lésion nodulaire intraventriculaire droite hypermétabolique compatible avec un thrombus
  • plage hypermétabolique pulmonaire lobaire inférieure droite de topographie vasculaire évoquant un processus embolique

Asymptomatique au niveau cardio-respiratoire.

Constantes normales.

Conclusion

Découverte de plusieurs lésions nodulaires musculaires hypermétaboliques confirmant la récidive de lésions liposarcomateuses.
Embolie pulmonaire lobaire inférieure droite avec thrombus intra ventriculaire droit.

Mots Clés : Embolie Pulmonaire

 

N'hésitez pas à partager !

Commentaires