Indication
Patient de 62 ans, hospitalisé pour AEG avec CRP à 14 et polyalgie . TDM-TAP négatif en dehors d’un nodule pulmonaire postérobasal gauche. TEP-TDM au FDG demandée pour caractérisation et bilan d’extension de ce nodule.
Commentaires
Le « nodule » (non présenté) correspondait à une plage d’atélectasie non hypermétabolique.
La TEP-TDM au FDG a toutefois permis de poser un diagnostic concernant l’AEG et la polyalgie du patient. Lequel?
Le patient présente par ailleurs des céphalées inhabituelles. L’examen apporte-t-il un diagnostic à ce sujet?
Conclusion
Réponse dans les commentaires
Mots Clés : Quiz
La vitesse de sédimentation serait elle élevée…?
Je ne l’ai pas trouvée dans le bilan réalisé au cours de l’hospitalisation mais on peut légitimement se dire qu’elle pourrait être élevée.
Extraits du CRH
Il décrit depuis aout 2016 des douleurs de l’épaule droite en rapport avec une tendinopathie mais également depuis 3 mois une perte de 3/5 kg, (pesée à 73kg dans le
service). De manière plus récente, il décrit des douleurs de la ceinture pelvienne, mécaniques, positionnelles
sans réelle lombalgie. Le syndrome rachidien lombaire est tout à fait modéré avec une distance mains sol à
5cm. L’examen clinque est plutôt en faveur d’une pathologie coxo fémorale. L’horaire est très mécanique et
positionnelle. Pas de réveil nocturne.
La biologie réalisée ici était rassurante : CRP 14, ionogramme plasmatique normal y compris la calcémie,
créatininémie 88 μmol/L, hémogramme normal.
Il existait à l’électrophorèse un pic d’aspect monoclonal dans les gammaglobulines.
Le myélogramme réalisé ici confirme donc la gammapathie monoclonale à IgG, plasmocytose estimée à
1.6 % des éléments nucléés, non significatifs, myélogramme compatible avec une MGUS.
La TSH, les CPK, sont normaux, les facteurs anti nucléaires sont en cours.
Les radios montrent une coxarthrose toute débutante un peu plus marquée à droite, radiographie
pulmonaire sans particularité. Absence de sacro iliite radiographique, anomalie spécifique au niveau du rachis.
Le bilan radiographique a été complété d’une scintigraphie osseuse normale (Note de l’auteur : je proposais une TEP d’emblée dans la conclusion de la scinti, TEP qui sera finalement réalisée 2 mois plus tard après découverte du « nodule » pulmonaire sur le TDM TAP.
Ça fait PPR , une biopsie de l’AT a été proposée par hasard ?
Tout à fait et la BAT est revenue positive.
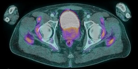
PPR ( Bursite des racines des membres et inter épineuse lombaire) associée à une vascularite de Horton ( hypermétabolisme des parois des artères vertébrales )
Tout à fait.
Magnifique PPR avec des bursites classiques (gléno-humérales, coxo-fémorales, ischiatiques, trochantériennes, interépineuses lombaires et cervicales) et des localisations plus rares : ilio-pectinées, petit trochanters, interapophysaires lombaire… Et une localisation que je n’avais jamais vu : base des épines scapulaires (si quelqu’un connaît le nom de cette bourse je suis preneur).
Hypermétabolisme de la portion horizontale des artères vertébrales (et des hypermétabolisme focaux sur l’iliaque interne et l’origine du TABC), suspect de maladie de Horton. BAT positive par la suite.