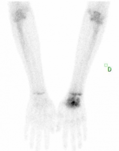
Ostéonécrose post traumatique du capitatum

Indication

Douleur à l’extension du point gauche avec palpation d’une tuméfaction de la face dorsale du poignet, évoluant depuis 6 mois.
Notion d’un traumatisme en hyperextension du poignet (chute moto) 2 mais avant l’apparition des douleurs

Commentaires

IRM: lésion linéaire en hyposignal T1 et Fat Sat du capitatum avec un hyposignal T1 et hyper Fat Sat du reste du capitatum.
La scintigraphie osseuse SPECT montre un foyer hypervascularisé et hyperfixant focal du capitatum et un rehaussement diffus du reste de l’os et du carpe.

Conclusion

Ostéonécrose post traumatique du capitatum.

Mots Clés : Ostéonécrose

 

N'hésitez pas à partager !