Myosite ossifiante associée à une paraosthéoarthropathie neurogène

Indication

Homme, âgé de 26 ans victime d’un accident de la voie publique avec traumatisme crânien et lésion radiculaire de la septième vertèbre cervicale associé à une fracture de la diaphyse fémorale droite et du ¼ inferieur des deux os de la jambe gauche traitées par ostéosynthèse

Commentaires

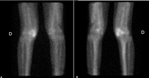
Temps angiographique et tissulaire: accumulation du radio traceur au niveau du genou gauche et dans le compartiment tissulaire antérieur des cuisses
Au temps osseux : hyperfixation peu intense extra osseuse en regard des deux fémurs et hyperfixation intense extra osseuse sur la face interne du genou gauche.
Radiographie des fémurs: ossification hétérotopique bilatérale dans le compartiment musculaire antérieur des cuisses.

Traceur :
HMDP99mTc

Centre / Camera:
Hôpital militaire d’Oran, Algérie / DST-XL double tête

Cas publié par N. El Ouchdi le 2012-05-12

Conclusion

Ossification hétérotopique active de la loge antérieure des deux cuisses en rapport avec une myosite ossifiante immature
Ossification hétérotopique active de la face interne du genou gauche en rapport avec une para ostéo arthropathie neurogène (PAON) immature

Mots Clés : Scintigraphie osseuse Myosite Ossification hétérotopique

 

N'hésitez pas à partager !