Marqueur de la Plaque Amyloïde – AV 45

Indication

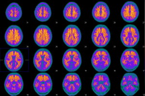
Imagerie de la plaque amyloïde.
2 cas: fixation normale et fixation pathologique

Commentaires

Captation normale :
Homme de 75 ans.
Troubles mnésiques légers associés à un syndrome d’apnée du sommeil.
Antécédents familial de maladie d’Alzheimer chez la mère.

Captation corticale anormale :
Femme de 73 ans
Troubles mnésiques et anxio dépressif évoluant depuis 5 ans
Aggravation des troubles cognitifs

Captation corticale diffuse. Charge amyloïde élevée.
Scintigraphie cérébrale réalisée 6 mois après l’étude de la charge amyloïde: normale.

Traceur :
AV 45 – F
HMPAO 99mTc

Centre / Camera:
CHU de Montpellier / Siemens Biograph Duo – Philips Prism 3000

Cas publié par D. de Verbizier le 2012-03-21

Conclusion

Imagerie de la plaque amyloïde.
Mise en évidence précoce de dépôts amyloïdes, sans altération perfusionnelle

Mots Clés : Alzheimer AV45 HMPAO Normal

 

N'hésitez pas à partager !