Hypothyroïdie et Nodule chaud ectopique

Indication

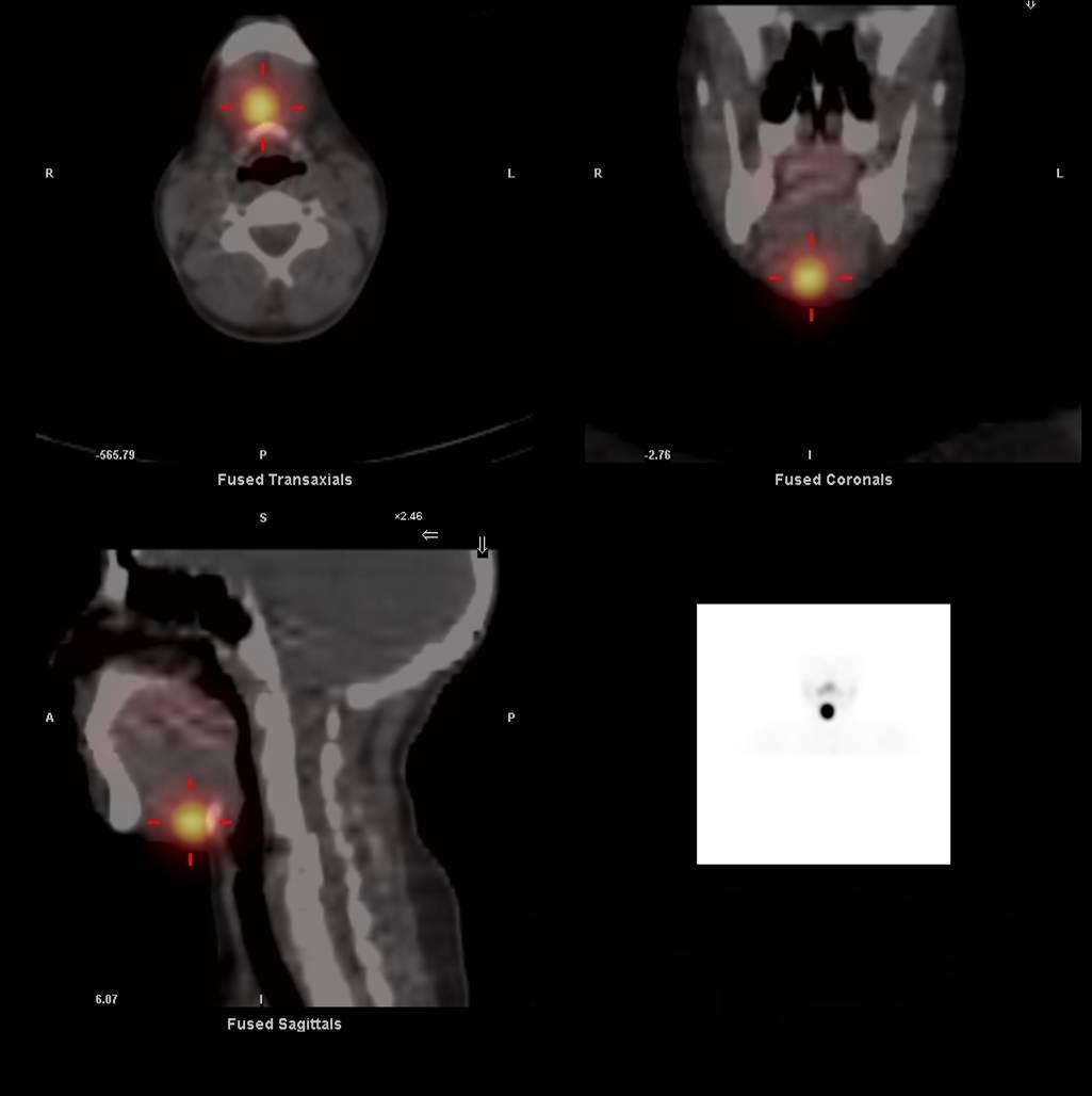
Patiente de 12 ans suivie depuis la naissance pour une hypothyroïdie congénitale sur ectopie thyroïdienne (position sublinguale).
Signes clinique d’hypothyroidie
TSH très élevée à 200 µUI/ml (N: 0.27 – 4.2)
Apparition récente d’une masse palpable au niveau du plancher buccal.

Commentaires

Fixation rapide et intense du technétium dans la région sublinguale
De forme globalement arrondie
Correspondant à la masse visible à l’échographie (nodule hypervascularisé en positon sous linguale de 25 x 22 x 15mm) et compatible avec du tissu thyroïdien.

INFORMATIONS:
Il s’agit là d’un nodule chaud différent du classique adénome toxique de l’adulte
Patiente actuellement en profonde hypothyroidie sur non compliance à son opothérapie substitutive
Hyperstimulation du tissu ectopique par la TSH dont le taux est très élevé
Hypertrophie de ce tissu avec apparition d’une formation nodulaire hyperactive, fortement hyperfixante, sans compensation possible du taux de TSH
Ceci explique l’association de ce nodule chaud et d’une profonde hypothyroidie.

Traceur :
99mTc

Centre / Camera:
CHU de Montpellier / GE DST-XL et Hawkeye

Cas publié par B. Chambert le 2011-09-01

Conclusion

Nodule chaud au sein du tissu thyroïdien ectopique.

Mots Clés : Hypothyroïdie congénitale Ectopie thyroïdienne Scintigraphie Thyroïdienne

 

N'hésitez pas à partager !