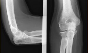
Fracture de la tête radiale droite

Indication

Femme de 60 ans, bilan d’extension d’une néoplasie mammaire. Notion de chute il y a 10 jours.

Commentaires

Hyperfixation intense, isolée, focalisée de la tête radiale droite évoquant une fracture confirmée sur la radiographie standard.

Traceur : HDP Tc99m
Centre de réalisation de l’examen: CRLC Val d’Aurelle

Cas publié le 2009-07-22

Conclusion

Fracture de la tête radiale droite

Mots Clés : Scintigraphie osseuse Fracture

 

N'hésitez pas à partager !