Fibrose rétro-péritonéale

Indication

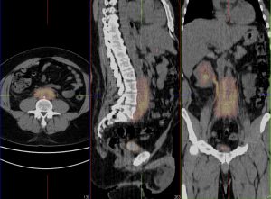
Femme de 41 ans, récidive de douleurs abdominales 1 mois après l’arrêt de la corticothérapie chez une patiente suivie pour une fibrose rétro-péritonéale idiopathique.

Commentaires

Hypermétabolisme intense diffus en faveur d’une évolutivité de la fibrose rétro-péritonéale idiopathique connue.

A noter l’accumulation du radiotraceur aux niveaux des voies excrétrices urinaires proximales.

Cas publié le 2009-09-04

Traceur: 18-FDG

Centre de réalisation de l’examen: CHU Gui de Chauliac Montpellier
SIEMENS, biograph duo

Conclusion

Fibrose rétro-péritonéale idiopathique

Mots Clés : FDG Fibrose retro-péritonéale

 

N'hésitez pas à partager !