Indication
Patiente de 58 ans présentant une altération de l’état général avec fièvre et perte de poids récente.
Une TEP FDG est réalisée dans le bilan diagnostique initial.
Commentaires
Quel diagnostic évoquez vous ? Et surtout comment expliquer les anomalies présentées sur les coupes axiales ?
Conclusion
–
Granulomatose avec polyangéite (maladie de Wegener) ?
Avec atteintes pulmonaire (alvéolite) et rénale (glomérulonéprite)
Pour l’utérus et les adénopathies ça pourrait correspondre soit à des granulomes dans le cadre du Wegener soit une néoplasie.
Tuberculose ?
Avec atteinte pulmonaire bilatérale (miliaire?), ganglionnaire (loge de Baréty et hile rénal droit), rénale bilatérale et utérine. Pour l’atteinte rénale, son caractère hypertrophique pourrait être causé par une amylose AA secondaire à la tuberculose ?
Sarcome utérin ?
Syndrome pneumo-rénal ?
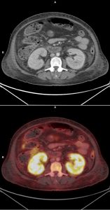
– Fixation rénale corticale : inflammation capillaire/fuite glomérulaire du FDG (glomérulonéphrite)
– Fixation pulmonaire diffuse + sd interstitiel : hémorragie intra-alvéolaire
– Hyperfixations utérine + ADP pathologiques
– Fixations ostéo-médullaire + splénomégalie inflammatoires
Hypothèses : vascularite à ANCA, vascularite secondaire (paranéoplasique ou infectieuse)…
Très bonnes hypothèses, mais ce n’est pas une granulomatose avec polyangéite, ni tuberculose, sarcome utérin ou syndrome pneumo-rénal.
Je vous oriente pour le diagnostic: la patiente avait également des sueurs nocturnes et présentait au diagnostic un syndrome d’activation macrophagique (devant la fièvre, splénomégalie, et biologiquement une hyperferritinémie, hypertriglycéridémie, avec bicytopénie).
Lymphome non hodgkinien primitif du corps utérin (AEG, fièvre, sueurs nocturnes) : masse hypermétabolique du corps utérin et adénopathies latéro-cave et médiastinales
…Compliqué d’un SAM (fièvre, hyperferritinemie, hypertriglyceridémie, bicytopénie) : splénomégalie, hypermétabolisme ostéomédullaire diffus modéré, hypermétabolisme de la néphropathie glomérulaire induite par le SAM, atteinte pulmonaire interstitielle bilatérale diffuse
Lymphome intra-vasculaire de localisation utérine, rénale, pulmonaire et ganglionnaire ?
Bravo Olivier ! Tu as trouvé la bonne réponse.
Le diagnostic est bien celui de lymphome agressif (ici B diffus à grandes cellules non GC) avec dissémination intra-vasculaire et notamment atteinte ganglionnaire sus et sous diaphragmatique.
La particularité de ce cas était donc la dissémination intra-vasculaire se traduisant ici par une hyperfixation diffuse du parenchyme pulmonaire, rénal et utérin ; l’atteinte préférentielle de ces organes serait due à leur richesse en petits vaisseaux sanguins.
Une atteinte ostéo-médullaire focale +/- multiple en TEP est également décrite (cf Dhomps A et al, Médecine Nucléaire 2017, Miura Y et al Mayo Clin Proc 2010), non retrouvée chez cette patiente : la BOM ne montrait pas d’infiltration lymphomateuse.
Pour aller plus loin:
https://doi.org/10.4065/mcp.2009.0716
http://dx.doi.org/10.1016/j.mednuc.2017.02.170
Merci ! Super dossier !
Bravo ! La TEP a un rôle primordial dans cette présentation rare de lymphome à grandes cellules B.
J’ai mis en ligne une présentation faite récemment par notre interne suite à un dossier similaire dans notre service :
http://www.mednuc.net/lymphome-intravasculaire-a-grandes-cellules-b/